Hip Joint Microinstability Study

We are delighted that Dr Rebecca Woodward, subspecialist MSK radiologist at Auckland Radiology, has had a paper published in Skeletal Radiology, the leading publication for research in the cutting-edge field of musculoskeletal imaging. The study, entitled “Imaging characteristics of hip joint microinstability: a case–control study of hip arthroscopy patients”, was supervised by Dr Rebecca Woodward with Auckland-based training registrar Dr Andrew MacDonald as one of the primary authors, in conjunction with local and international experts.

Background

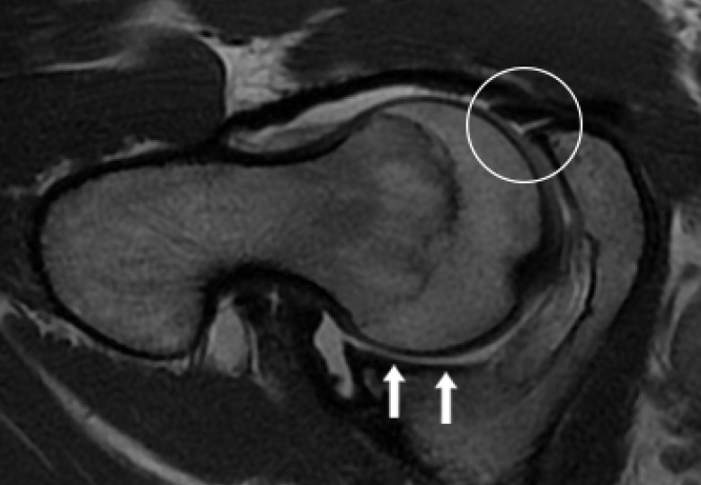
Hip microinstability is a condition, predominantly seen in young women, where subtle instability of the hip joint is thought to cause pain. It is becoming increasing recognised and treated, but it is challenging for clinicians to diagnose. Examination findings may suggest the condition but diagnosis is often only confirmed during hip arthroscopy (a type of surgery). This study aimed to determine if features identified on X-rays and MRIs could enable preoperative diagnosis. 

Methods

The researchers looked at 224 hips from patients who had hip arthroscopy performed by a single orthopaedic surgeon. They compared 112 hips with clinical microinstability to 112 control hips without the condition. They evaluated pre-operative X-rays and MRIs to assess various imaging features associated with hip microinstability. 

Results

The study found that certain imaging features were statistically significant predictors of hip microinstability:

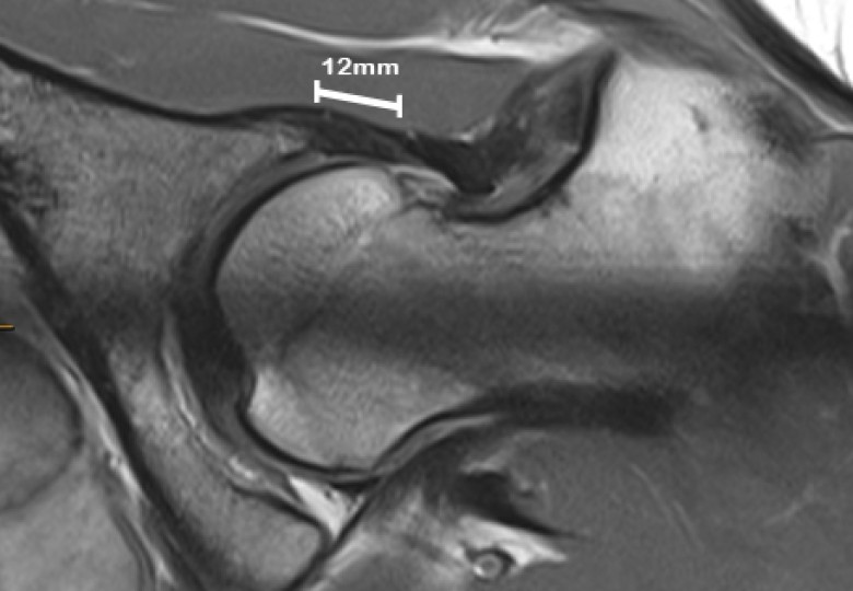
  • Labral hyperplasia ( enlargement of the cartilage at the margin of the hip socket) was a predictor of microinstability.
  • Increased acetabular anteversion (a measure of the angle of the hip socket) and decreased lateral centre edge angle (LCEA, a measure of hip socket coverage) were associated with microinstability.
  • The absence of osteophytes (bone spurs) and the absence of a positive ischial spine sign (a specific feature seen on X-rays) were also associated with microinstability.

However, there were no clear cut off values for imaging measurements differentiating those with microinstability from other hip arthroscopy patients. Many other imaging features previously reported in hip microinstability were not found to be associated with it in this study.

Conclusion

Labral hyperplasia, decreased LCEA and increased acetabular anteversion were associated with microinstability, while many other imaging findings were not. Although imaging can help predict those with hip microinstability in some cases, it remains complementary but not definitive in diagnosing hip microinstability.

Find out more

The calibre of this research, in collaboration with local and international specialists such as sports medicine experts, puts ARG at the forefront of the field of musculoskeletal and sports-related medicine which helps people with injuries and joint problems to get the most out of life.